Що таке гіперпластичний риніт – симптоми і лікування 2019
Діагностика захворювання
Перші згадки про гиперпластическом риніті виявлені в наукових працях Корнелія Цельса – римського вченого, філософа і лікаря. У той час патологія була названа «тутової ягодою», і описана досить поверхово, як одне з проявів затяжного хронічного нежитю.
Незважаючи на те, що було це ще в перших десятиліттях н. е., досі ніхто з фахівців так і не зміг описати дійсні причини розвитку недуги, посилаючись більшою мірою на фізіологічні особливості будови носа людини.
Розростання тканин
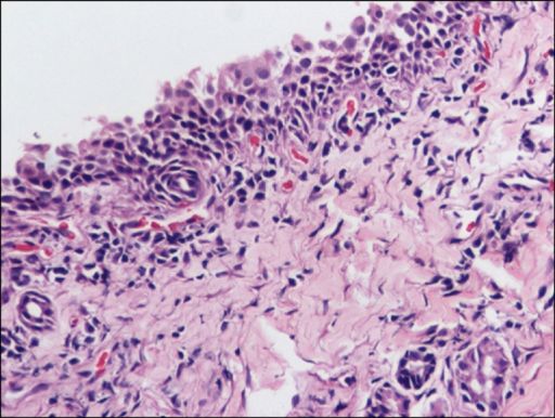
Практично всі випадки з діагнозом «гіперпластичний риніт» — це ущільнення і розростання сполучної тканини у людей з вродженим або набутим пошкодженням носової перегородки.
Лікар при огляді звертає увагу на певне ущільнення в області носових проходів, пофарбоване в темний коричневий або червоний колір. Остаточно підтвердити патологію вдається лише після введення в носові проходи адреналіну.
На відміну від гіпертрофічного риніту, гіперпластичний характерний тим, що слизова оболонка потовщується і збільшується в обсягах по всьому периметру носової пазухи, створюючи дискомфорт і незручність хворому.
Загострення
Загострення патології виникає на тлі існуючого нежиті при таких супутніх факторах:
- Переохолодження організму, викликане тривалим перебуванням хворого на холоді;
- Інфекційні процеси, що розвиваються в порожнині носоглотки;
- Неадекватне або повністю відсутнє лікування риніту;
- Тривале використання судинозвужувальних назальних крапель.
Всі ці фактори ризику вторинні, а основний – викривлення або часткова деформація носової перегородки.
Основні симптоми
Незважаючи на те, що гиперпластическое прояв риніту яскраво виражених симптомів не має. З’являються ознаки патології окремо або разом, коли хвороба вже вступила в гостру фазу розвитку. Ось деякі основні сигнали того, що звичайний риніт перейшов у форму гиперпластического:
- Збільшуються обсяги виділяється секрету, слизу стає в’язкою, в її складі можуть спостерігатися гнійні вкраплення;
- Дихальні проходи носової порожнини значно звужуються, дихання через ніс утруднюється;З’являється приглухуватість, змінюється голос;
- Починаються головне болю, часто локалізовані в області перенісся і лобової частини.
Ці ознаки свідчать про те, що в носових пазухах почав розвиватися патологічний інфекційний процес. Саме на підставі вищеописаних симптомів і лабораторних досліджень патогенного секрету, лікар ставить діагноз і призначає терапевтичні заходи.

У процесі діагностики фахівець обов’язково проводить риноскопию. Цей метод обстеження в сукупності з клінічною картиною та результатами аналізів дає отоларинголога підставу до призначень при лікуванні.
Медикаментозна терапія при гиперпластическом риніті сама по собі результату не дає. Застосування антибіотиків і антисептиків у лікуванні зводиться до того, що процес одужання тягнеться дуже довго.
Як правило, на перших етапах лікування проводяться наступні фізіотерапевтичні процедури:
- Вогнище запалення та інфікування слизової оболонки прижигается за допомогою розчинів з хромовою кислотою;
- Паралельно використовуються розчини та мазі судинозвужувальної дії (Коларгол і Протаргол) і для усунення набряків і запальних процесів;
- Уражені ділянки слизової обов’язково обробляються ультразвуків і хімічним холодом;
- У виключних (вкрай запущених) випадках застосовується оперативне втручання, яке полягає в розсіченні і видаленні ущільненої тканини.
Поява гиперпластического нежиті як незалежної захворювання відзначається дуже не часто. У більшості випадків провокуючим фактором є запалення.
В якості причин провокаторів виділяють:
- несприятливі кліматичні особливості регіону;
- роботу на шкідливих виробництвах або в місцях з підвищеним вмістом дрібнодисперсного пилу;
- переохолодження організму;
- схильність до алергічних реакцій;
- патологічні процеси в носоглотці;
- тютюнопаління;
- порушення роботи нервової системи.
Під дією перерахованих факторів відбувається потовщення слизових тканин носа. Як наслідок порушується мікроциркуляція крові в носових судинах. В результаті виникають патологічних процесів посилюється гіперпластичний риніт.
Діагностику риніту проводить лікар отоларинголог. Діагноз ставиться на основі збору даних анамнезу і вивчення скарг пацієнта. Крім візуального огляду лікар призначає:
- кров на аналіз;
- мазок з порожнини носа на визначення патогенної мікрофлори;
- ендоскопічне дослідження;
- диафаноскопию;
- проведення рентгенографії;
- тест з анемізації.
Гіперпластичний риніт діагностується, коли дослідження показали:
- збліднення оболонок носа;
- наявність плям або ділянок з незвичним кольором на внутрішніх тканинах носової порожнини;
- набряк;
- виділення інфекційного характеру;
- розростання клітин оболонок носа;
- западання ділянок носових ходів в область носоглотки.
Під час діагностики риніту часто виявляється гайморит, деформація носової перегородки, аденоїди.
Гіперпластичний синусит — це риніт, при якому розвивається запалення слизових тканин носа з їх подальшою трансформацією. Гіперпластичних форма є підвидом продуктивного синуситу. Її пов’язують з потовщенням тканин носа, викликає утруднення дихання.
Риносинусит характеризується появою таких симптомів, як:
- біль у верхній частині обличчя і голови;
- носові виділення (колір може змінюватися в залежності від стадії захворювання і причини його появи);
- порушення нюху;
- утруднення дихання;
- почервоніння шкірних покривів в області ураженої пазухи.
Риносинусит є загальним поняттям. Він підрозділяється на види залежно від інфекції, що викликала запальний процес і локалізації запалення.
За типом інфекції фахівці виділяють синусит:
- вірусний;
- алергічний;
- бактеріальний;
- грибковий;
- травматичний.
В залежності від розташування вогнищ запалення, риносинусит підрозділяється на гайморит, фронтит, етмоїдит, сфеноидит.

Гіперпластичний гайморит є різновидом синуситу. Він характеризується розростанням слизових оболонок в гайморових пазухах. Спровокувати гайморит може риносинусит алергічного характеру або гострий вірус.
Патологія відрізняється від інших форм риніту поруч симптомів:
- набряк носа;
- порушення нюху;
- температура до 39 градусів;
- головний біль з локалізацією на потилиці, лобових частках, верхніх щелепах;
- загальна слабкість;
- гнійні виділення з носових ходів.
За локалізацією виділяють три форми гаймориту.
- Правосторонній. Патологічний процес зачіпає тільки праву секцію носа.
- Лівобічний. Розростання слизових тканин, кістозні та полипозные освіти з’являються з лівого боку.
- Двосторонній. Найбільш важка форма, при якій запалення зачіпає гайморові пазухи з двох сторін.
Основне лікування гіперпластичної форми гаймориту носить консервативний характер. Воно спрямоване на зняття запального процесу. Пацієнтам призначаються антибіотики широкого спектру дії. Набряк носових тканин усувається за рахунок застосування судинозвужувальних препаратів і антигістамінних засобів.
Для видалення гнійного вмісту з носових пазух здійснюється їх промивання розчином фурациліну або аналогами. Для лікування використовуються краплі на гормональній основі або з місцевим антибіотиком. Високу ефективність показали Полидекса, Изофра.
Відсутність видимого ефекту від медикаментозного лікування є приводом для оперативного втручання. Воно спрямоване на видалення розрослися тканин.
Гіперпластичний риніт — це захворювання, перебіг якого супроводжується розростанням тканин слизової оболонки носових пазух, що в подальшому веде до гіпертрофії окістя. Частіше діагностується локальна форма патології, що характеризується однобічним ураженням. При дифузному риніті вогнища розростання виявляються у обох пазухах.
Про лікування вірусного риніту читайте тут.
При гіперплазії тканини набувають пухку консистенцію. Під час огляду зони ураження виявляються набряклі венозні сплетення. У запущених випадках кінці носових пазух звисають над верхньою губою.
Що не можна робити
Багато людей не люблять відвідувати поліклініку і займаються самостійним лікуванням, якщо у них закладає вуха при нежиті. Використовуються методи народної медицини, поради з інтернету, рецепти з «бабусиної скрині» – не всі ці заходи можуть допомогти, часом ситуація стає тільки гірше.
Перш чим починати лікування проблем зі слухом у домашніх умовах необхідно зрозуміти, що категорично заборонено робити:
- Продувати слухові труби. Зазвичай роблять глибокий вдих, закривають рот і ніс, роблять різкий видих. Так робити категорично не можна. Це посилює набряклість, в організм може потрапити інфекція, почнеться отит. При сильному і різкому висякуванні з’явився може статися те ж саме.
- Теплі компреси можуть нашкодити. Ця методика не приносить ніякої користі для лікування закладеності, тепло може дійти до слухових труб і зробити згубний вплив – набряк розшириться, процес запалення запущено з новою силою. Дуже небезпечно прогрівати вуха немовлятам – теплий ефект від заходу досягається, але відстань від євстахієвої труби у дітей маленьке, що говорить про дуже швидкому розвитку інфекції. Тому даний вид вправи суворо заборонено.
- Не можна робити інгаляції. При отиті і гаймориті інгаляції можуть погіршити стан пацієнта.
- Самостійно призначати краплі для вух. Ці засоби мають ефективність тільки в певних ситуаціях, коли болить зовнішнє вухо. Якщо вуха закладені при нежиті, то в євстахієвої трубі краплі навіть не виявляться, так як не зможуть в неї потрапити. Крім цього, під час отиту, який супроводжується таким симптомом, як пошкодження барабанної перетинки, використовувати подібні засоби дуже небезпечно – виникає гостра ймовірність ураження нервів слуху.
- Засоби народної медицини можна використовувати тільки при узгодженні з лікарем. Методики впливають на зовнішні проходи слуху і барабанну перетинку. Народні засоби, як і краплі для вух, не принесуть ніякої користі в області лікування євстахієвої труби. Є лише одна міра домашньої медицини, яку можна використовувати для лікування закладеності вух при риніті – рясне тепле питво з вітамінами. Мова йде про чай з медом і малиною, настоянки, морсе. Цей засіб надає загальнозміцнюючу дію, і допоможе прискорити процес одужання.
- Якщо процедури призводять до запаморочення і слабкість, то зніміть їх і зверніться до лікаря.
- Самостійне лікування категорично заборонено при вагітності.
Коли під час нежиті закладає у вухах, то це може бути пов’язане з помилками при висякуванні з’явився або сильному скупченні слизу в носовій порожнині.
Якщо пацієнт починає сякатися за всіма правилами, ретельно вимиває носову порожнину розчином солі, а проблема не йде, то варто негайно звернутися до лікаря.
У багатьох випадках закладеність пов’язана з простудними захворюваннями. У момент приєднання бактеріальних форм інфекції трапляється цей симптом. Для терапії призначають антибіотики місцевого типу.
Негайна і якісна діагностика в умовах амбулаторії допоможе вам впоратися з проблемою і не довести справу до ускладнень. Бажаємо вам міцного здоров’я!
Не допускається прогрівання носа (лікуватися компресами, розігріваючими мазями, спреями).

Інфекції, виділення гною, що супроводжують захворювання, тільки посилять його – хвороба загостриться, інфекція проникне в кров.
Наслідки
При перших підозрілих ознак необхідно негайно звертатися за медичною допомогою. Тільки на ранньому етапі розвитку риніту гиперпластического можна сподіватися на одужання.
У разі стрімкого розростання слизової, коли в виділеної слизу присутні сліди крові або гною, гиперпластическое захворювання вважають хронічним. Вкрай важливо домогтися максимального лікування на цій стадії хвороби, так як тимчасове зниження прояву симптомів і припинення терапії призводить до ще більш негативних наслідків.
Відсутність лікування при гиперпластическом риніті може призвести до вогнища хронічних інфекцій в носоглотці, розвитку запальних захворювань органів слуху. Після хірургічного втручання можуть спостерігатися кровотечі, як наслідок неповного висічення країв носової раковини.
Виникають небажані наслідки і після лікування народними засобами. Так, при гиперпластическом риніті не можна використовувати для закапування сік алое та інші рослинні засоби, які прискорюють регенерацію тканин і тільки збільшують гіперплазію. Не слід прогрівати ніс, це може погіршити стан хворого при гнійної інфекції.
При перших же ознаках гиперпластического риніту необхідно терміново звернутися за допомогою до фахівця і негайно почати лікування. Якщо захворювання виявлено на ранній стадії, одужання може бути досягнуто шляхом проведення лікарської терапії за допомогою розчинів і мазей.
Однак у тих випадках, коли розростання тканин проходить стрімко, а виділяється слиз з домішкою гною або крові, хвороба можна вважати хронічною. У цих випадках патологія лікується до повного одужання, оскільки тимчасові полегшення і зупинка лікування провокують рецидив, а за ним і повне закупорення дихальних проходів.
При лікуванні повністю дотримуйтесь всі рекомендацій та призначень лікаря. Самолікування призводить до розвитку таких захворювань, як хронічний або гнійний гайморит, а наслідок цього одна – хірургічне втручання.
Можливі ускладнення
Гіперпластичний риніт небезпечний розвитком ряду серйозних ускладнень з формуванням:
- часткової втрати слуху, нюху;
- хронічних головних болів;
- патологій носоглотки: бронхіту; синуситу, трахеїту, аденоита, тонзилита;
- носових кровотеч;
- погіршення самопочуття;
- ниючих болів в області щелепи;
- порушення кровообігу в носі;
- виникнення схильності до інфекцій у носовій порожнині;
- порушень роботи ШКТ, нирок, печінки;
- кон’юктивіту;
- порушень в роботі серця (серцева недостатність);
- хронічного гаймориту;
- труднощів при вдиху і видиху.

Уникнути небажаного розвитку допоможе своєчасне звернення до отоларинголога.
Відсутність своєчасного лікування призводить до прогресування захворювання та розвитку ряду ускладнень.
Найбільш часто, в якості ускладнень виникають:
- носові кровотечі;
- хронічний запальний процес в носоглотці;
- втрата нюху;
- часткова або повна втрата слуху;
- головні болі.
В результаті недолеченного риніту та його хронічної форми бронхіт, синусит, гайморит, кон’юнктивіт. У дитячому віці основним ускладненням є хронічний аденоїдит.
Також фахівці відзначають порушення роботи серцево-судинної системи, печінки, нирок. Погіршується загальне самопочуття пацієнта, з’являється швидка стомлюваність, порушення апетиту, зниження працездатності.
Причини виникнення

Отоларингологи стверджують, що гіперпластичний риніт зазвичай діагностується у пацієнтів з викривленням (деформацією) носової перегородки, вродженим або набутим. Крім того, на виникнення захворювання впливає виробнича обстановка, наприклад, мелкодисперсная металева, абразивна, скляний пил завдає слизової мікротравми.
Також пил рослинного або тваринного походження, осідаючи на стінках порожнини носа і носових раковинах, хоч і не травмує слизову оболонку, але погіршує функціонування миготливого епітелію.
Слизова оболонка починає поступово змінюватися, товщати, але цей процес відбувається досить повільно. Це є причиною того, що симптоматика не яскраво виражена, а хвороба потребує диференціальної діагностики.
Етіологію гіпертрофічного риніту можна розділити на три основні групи:
- хронізація риніту та інших запальних захворювань носоглотки;
- несприятливий вплив навколишнього середовища і умов виробництва;
- спадковий фактор.
Хронічний риніт, у свою чергу, виникає на грунті не вилікуваних простудних захворювань і ослабленого імунітету. Неправильне лікування і безконтрольне застосування в боротьбі з нежиттю Нафазолина та інших судинозвужувальних препаратів призводить до розвитку медикаментозного риніту і залежності від ліків. Впливає на видозміну тканини, що вистилає носову порожнину, і постійний вплив алергенів.
Тканина слизової може також змінюватися при онкологічних захворюваннях, патології лімфоїдного апарату. Гіперпластичний риніт у дорослих викликає нікотин: курці хворіють частіше за інших.
Профілактика
Щоб запобігти гіперплазія тканин носових пазух, рекомендується:
- уникати переохолодження;
- своєчасно лікувати респіраторні захворювання;
- відмовитися від куріння;
- змінити місце роботи або проживання;
- споживати вітамінні комплекси;
- регулярно промивати порожнини носа;
- приймати антигістамінні ліки при алергічної реакції.
Важливою умовою успішної патології є постійна підтримка імунітету. При виникненні нежиті необхідно відразу приступати до лікування відповідними препаратами. Застосовувати судинозвужувальні ліки необхідно, згідно призначеної дозуванні.
У відсутність лікування гіперпластичний риніт дає множинні ускладнення на органи дихання. На тлі цієї хвороби розвиваються бронхіт, трахеїт, синусит та інші патології. Через нестачу кисню можливі серцева недостатність і дисфункція внутрішніх органів.
Про лікуванні вазомоторного риніту нейровегетативной форми читайте тут.
Контролювати власне здоров’я:
- уникати переохолоджень;
- своєчасно пролечивать гайморит, інфекційні захворювання носової порожнини;
- позбутися від карієсу;
- виключити прийом антибіотиків без призначення лікаря.
Вести здоровий спосіб життя:
- відмовитися від шкідливих звичок;
- загартовуватися, більше часу проводити на повітрі;
- помірно займатися фізкультурою і спортом;
- нормалізувати харчування, не допускати авітамінозу.
Алергікам, пацієнтам із частими проявами риніту:
- промивати ніс ізотонічним і антибактеріальним розчином;
- зволожувати носові проходи;
- контролювати алергічні реакції показаними медичними препаратами.
Перелічені заходи слід зробити правилами життя, щоб не тільки уберегтися від нежитю в різних формах і ступенях розвитку, але також – для збереження здоров’я на багато років.

Для запобігання постійного виникнення патологічного процесу слід дотримуватися рекомендацій:
- ввести в графік загартовування, починати процедури можна з контрастного душу;
- періодично провітрювати приміщення і проводити вологе прибирання;
- під час масових епідемій профілактично промивати носові ходи розчинами з морською сіллю;
- відмовитися від шкідливих звичок;
- своєчасно пролечивать інфекційні хвороби, не допускати загострення хронічних форм.
Методи профілактики націлені перш за все на те, щоб не допустити переходу катарального (хронічного) риніту у гіперпластичний. Але якщо уникнути цього не вдалося, то профілактичні заходи спрямовані на те, щоб перешкоджати прогресуванню патологічного процесу:
- Регулярне санування хронічних вогнищ інфекції верхніх дихальних шляхів (запалення приносових пазух або піднебінних мигдалин). Для цього необхідно своєчасно відвідувати отоларинголога, який призначить терапію і, з допомогою спеціальних діагностичних методів, буде контролювати динаміку.
- Якщо пацієнт схильний до алергічних реакцій, особливо поллинозу, то за 14 днів до передбачуваного початку сезону цвітіння в профілактичних цілях рекомендується приймати протиалергічні засоби (стабілізатори мембран опасистих клітин).
- Пацієнтам з виявленим гіперпластичних ринітом слід відмовитися від тютюнопаління, переглянути умови праці, а також регулярно всілякими способами гартувати організм.
Такі зміни є незворотними і з часом розвиваються знову. Якщо пацієнт часто стикається з простудними захворюваннями і ринітом, то самолікування в даному випадку недоцільно. При своєчасної діагностики і адекватної терапії вдасться уникнути багатьох ускладнень.
Будь-які види лікування гиперпластического риніту є паллиативными. Це означає, що вони на час усувають прояви хвороби і покращують якість життя. Тому так важливо зупинити розростання сполучної тканини на ранньому етапі розвитку патологічного процесу.
Якщо ви знайшли помилку, будь ласка, виділіть фрагмент тексту і натиснути Ctrl Enter. Ми виправимо помилку, а Ви отримаєте до карми ?
Висновок
Вірусний нежить відноситься до поширених хвороб органів дихання. Низька функціональність аутоімунної системи стає причиною частих застуд і вимагає підтримки витаминотерапией, спортом і раціональним харчуванням.
Риніт вимагає обов’язкового лікування незалежно від форми його прояву. В іншому випадку слизова оболонка деформується, викликаючи порушення дихання, постійний нежить.
Кращим пацієнтам доведеться скоротити споживання нікотину або зовсім відмовитися від шкідливої звички, особливо у разі встановлення алергічної форми риніту. Нікотин викликає швидкий розвиток патології, переводить захворювання на більш складний рівень.
У разі тяжкого ураження слизової колишню форму повернути не вдається, проблеми з диханням і органами слуху стають постійними.
Стадії і форми
Патологічний процес має дві ключові форми гострого та хронічного перебігу. Перший варіант хвороби легко піддається лікуванню, але при його відсутності легко переходить в запущену фазу. Хронічний нежить підрозділяється на кілька видів:
- атрофічного типу — відрізняється руйнівними змінами слизових покривів носових ходів, які з часом стоншуються;
- гіпертрофічного – характеризується утворенням наростів в порожнинах носа, що заважають пацієнтові вільно дихати;
- гиперпластического — виникає при розростанні тканин слизової оболонки, що призводить до звуження носових проходів;
- субатрофического — один з варіантів запального процесу, що утворює як результат неповноцінного харчування слизових покривів.
Даний риніт проходить поступовий розвиток, кожна стадія хвороби проявляється певними клінічними особливостями:
- Продромальний період – триває кілька годин, починається з моменту проникнення вірусу. У пацієнтів відзначається підвищена сухість в носі, відчуття печіння, закладеність, часте чхання.
- Катаральний – триває від 2 до 3 діб. Характеризується утворенням значних обсягів прозорого секрету, зниженням нюху, формуванням сухих кірочок в носових порожнинах. Паралельно спостерігається підняття показників температури тіла, наростання клініки загальної інтоксикації організму.
- Завершальний – відбувається поетапне зниження запального процесу, зменшення набряклості, полегшення дихання через ніс. Повне одужання припадає на 5-7 добу.
Виділяють кілька провокуючих чинників, що призводять до розвитку відхилення:
- різноманітні види хронічних інфекційних патологій в органах дихання;
- спілкування з носіями ГРВІ;
- сильне переохолодження;
- деформаційні зміни в перегородці носа;
- аденоїди;
- полипозные розростання в носових ходах;
- грип;
- зниження функціональності аутоімунної системи на тлі дефіциту вітамінів, поганий екологічної обстановки, неконтрольованого прийому лікарських препаратів, шкідливих пристрастей.
Зазначені стани становлять невеликий список причини захворювання нежиттю. Основним джерелом є зниження працездатності захисного бар’єру – він пропускає інфекцію, дозволяючи їй успішно здійснювати свою життєдіяльність.
Закладеність після риніту
З появою перших ознак хвороби у пацієнта виникає:
- запалення носових оболонок;
- слизові виділення з носа;
- часте чхання;
- дискомфортні відчуття і минаючий свербіж в носовій порожнині.
Симптоми не обмежуються закладеністю носових ходів — температура підвищується, утворюються наступні прояви. Серед основних ознак інтоксикації організму виділяють хворобливі відчуття в м’язових тканинах і суглобах, зниження апетиту, гарячкові стани, напади головного болю.
Особливості перебігу риніту залежать від потрапив в організм збудника:
- Грип характеризується численними крововиливами на оболонках носа, високим ризиком спонтанних кровотеч. Уражені вірусом поверхневі шари відторгаються пластами.
- Кір визначається за рясним виділенням секрету, утворенням на слизових червонуватих плям.
Тривалість патологічного процесу обмежується одним тижнем, при нормальному імунітеті хвороба припиняється на 3 добу. У разі слабкого захисного бар’єру проблема може затягуватися на місяць або переходити в хронічну форму.
| Походження риніту | Вірусне | Бактеріальне |
| Температура | Різко піднімається | Наростає поступово, не піднімається вище 38 градусів |
| Секрет | Прозорий | Густий, з жовтим або зеленим відтінком |
| Поширення | Запалення в назальних пазухах, кашель, м’язові, суглобові болі | Патологічний осередок локалізовано, відсутня симптоматика гострої інтоксикації |
Вірусна форма виникає стрімко і також закінчується. Бактеріальна – вимагає медикаментозної терапії, мимовільно не закінчується.
Іноді вуха закладає вже після того, як нежить або застуда пройшли. Причиною цього явища вважають нюанси будови і працездатності системи слуху. Будова аналізаторів слуху включає в себе різноманітні елементи, початок закладено у зовнішніх проходах.

Вони перетікають в невеликі канали і закінчуються в області барабанної перетинки. Вона відрізняється чутливістю і дуже ранима, що призводить до частих пошкоджень.
Щоб тиск в слухових аналізаторах завжди було в нормі існує євстахієва труба. Це особливий орган людського організму, який з’єднує глотку і середнє вухо.
Закладеність у вухах після застуди і нежиті пов’язана з наявністю набряклості в євстахієвої труби. Відбувається різниця тиску в середньому і зовнішнє вухо, барабанна перетинка втягується. Всі ці метаморфози призводять до відчуттів болю і викликають закладеність.
Лікування нежиті
Терапія здійснюється в амбулаторних умовах. Лікування нежиті у стаціонарі проводиться при складних формах захворювання з тяжким перебігом.
Пацієнту рекомендується уникати перенапруження, не забувати про рясному питво, зволоження повітря в житлових приміщеннях, частого провітрювання. Основою раціону харчування стають овочі і фрукти.
Гостра форма захворювання або загострення хронічної патології вимагає застосування методик фізіотерапії. Лікування симптомів вірусного риніту передбачає зняття запального процесу, зниження набряклості. З цією метою використовуються такі процедури:
- лазерна терапія;
- УВЧ;
- магнітотерапія;
- ОКУФ.
Терапія здійснюється наступними лікарськими засобами:
- фармакологічними речовинами з противірусним призначенням для перорального і місцевого прийому – Інтерфероном, Кагоцелом, Ремантадином;
- НВПС зниження запалення і нормалізації показників температури тіла – Ібупрофеном;
- судинозвужувальні краплі назальні для зменшення набряклості і обсягів виділяється секрету – Тизином, Снупом;
- ліками для зменшення набряків слизових покривів – Кларитином, Тавегілом;
- промивання носових ходів і додаткового зволоження – Аквалором.
В допомогу імунітету призначається курс полівітамінних препаратів. Фахівці попереджають, що краплі та спреї можна використовувати відповідно до рекомендацій виробника. Самостійне збільшення термінів терапії призведе до резистентності організму.
Народні засоби

Домашні засоби представлені:
- Цибульно-олійними краплями – з середнього розміру цибулини вичавлюється сік, перемішується з 5 великими ложками рослинного масла. Готову суміш настоюють 10 годин, закопують тричі на день.
- Морквяно-буряковими краплями – обидва овоча ретельно промивають, очищають і переробляють в блендері. З отриманої суміші видавлюють сік, змішують з рослинним маслом, витримують дві години. Використовують тричі на день, по краплі в кожну ніздрю.
Народні методи лікування необхідно узгоджувати з лікарем.
Щоб позбутися від нежиті, потрібно докласти чимало зусиль. Це стосується як лікарської терапії, так зміни способу життя. Людині необхідно відмовитися від куріння, змінити умови праці або навіть місце проживання. Основне завдання лікування – усунути провокуючий фактор.
На ранніх стадіях хвороби проводиться консервативне лікування, яке включає:
- глюкокортикостероїди в назальної формі, наприклад, Авамис, Назонекс;
- ін’єкції гормональних препаратів, гліцерину, глюкози;
- розчин Протаргол, Коларгол.
При відсутності ефекту від консервативних методик призначаються припікання зон розростань з допомогою кислот (хромової, трихлороцтової). Крім цього, може застосовуватися:
- кріо-, лазеротерапія;
- ультразвукове вплив;
- гальванокаустика;
- внутрираковинное механічний вплив.
Перераховані маніпуляції вимагають місцевої анестезії. Мета втручання – усунути патогенних збудників, склеїти підслизовий шар і зменшити обсяг розростань.
Хірургічне лікування (конхотомия) передбачає обробку зон гіперплазії за допомогою ножиць або петлі. Операція може бути частковою, радикальної чи підслизової. Досить рідко в післяопераційному періоді спостерігаються носові кровотечі.
Зауважимо, що консервативне і оперативне лікування вважається паліативним, тобто не може повністю позбавити людину від гиперпластического нежитю. Одужання можливе, якщо усунути дію негативного фактора на початковій стадії хвороби.