Як зміцнити емаль зубів домашніми народними засобами
Основні правила
Так як зберегти зуби здоровими до самої старості вдається не всім, необхідно пам’ятати золоте правило: чистити зуби потрібно постійно. При порушенні гігієни порожнини рота починається запалення м’яких тканин.
При цьому ясна починають кровоточити. При нерегулярній і неправильній чистці зубів шкідливі мікроорганізми розмножуються набагато швидше. При цьому активна діяльність бактерій негативно позначається на стані емалі та м’яких тканин.
Саме з цієї причини чистити зуби слід регулярно. При цьому процедура повинна відбирати не менше 2-3 хвилин. Також фахівці рекомендують приймати відвари лікарських трав для полоскання. Крім цього, необхідно стежити за своїм раціоном.
Уникнути розвиток небажаних захворювань можна, використовуючи народні методи. Деякі засоби нетрадиційної медицини ідеально підходять для профілактики захворювань порожнини рота. Отже, як зберегти зуби під час вагітності, лактації і так далі?
Фторування
Фтор — важливий компонент, що входить до складу емалі, який відновлює тверді тканини зуба і підвищує їх здатність поглинати кальцій. Його користь для зубів полягає у збільшенні їх фізичної міцності і стійкості перед карієсом.
Примножити кількість фторидів в емалі можна кількома способами, але один з найбільш ефективних — спеціальна стоматологічна процедура (фторування).
Існують два типи подібної операції:
- Проста — зуби занурюються на 20 хвилин в т. н. ложку, заповнену препаратами з фтором. Це абсолютно безболісна операція, яку можна повторювати до 15 разів на рік та виконувати навіть вдома.
- Глибока. Коли попередньо очищені і висушені зуби покриваються спеціальним лаком, а поверх нього — молочком, насиченим гідроокисом кальцію і міді. З цієї суміші виділяється фторсодержащая складова, яка проникає глибоко в пори емалі і насичує тверді тканини. Проводиться дана процедура не частіше одного разу на рік.
В результаті фторування зубні тканини відновлюються і стають менш схильні до карієсу, знижується їх чутливість і зміцнюється захисна прошарок емалі. Але при надлишку компонента можуть статися і негативні наслідки — остеосклероз та флюорозу.
Чайне дерево
Для зміцнення ясен можна використовувати масло чайного дерева. З цього компонента варто приготувати розчин. Як це зробити? Спосіб приготування лікарського засобу досить простий. Для цього необхідно розчинити три краплі олії чайного дерева в склянці чистої кип’яченої, але охолодженої води.
Варто відзначити, що таке народний засіб дозволяє зміцнити не тільки м’які тканини порожнини рота, але і зуби. Масло чайного дерева усуває неприємний запах, бореться з карієсом і пародонтоз.
Як зберегти зуби здоровими: народні засоби, корисні рекомендації та ефективні методи
Але не тільки від вмісту фтору в емалі залежить міцність зубів — велике значення має і наявність в ній кальцію, а також фосфору. Зниження концентрації даних речовин веде до т. зв. демінералізації тканин, а, крім того, до розвитку карієсу.
Як і при фторуванні зубів, операція насичення твердих тканин кальцієм і фосфором проводиться за допомогою спеціальних кап, заповнених гелем, або методом аплікацій. Курс терапії, а також препарати підбираються індивідуально, але зазвичай ремінералізація проводиться протягом 2-4 тижнів.
Позитивні ефекти процедури:
- профілактика карієсу і його усунення на ранніх стадіях;
- зменшення проявів флюорозу;
- ліквідація гіперестезії зубів;
- освітлення відтінку емалі до 5 тонів;
- нормалізація мікрофлори ротової порожнини.
Крім того, процедуру часто використовують для відновлення зубів після і під час носіння різних протезів, наприклад, брекетів.
Не завадить ремінералізація і при відбілюванні емалі.
Як зберегти зуби? Це питання хвилює багатьох. Адже існує величезна кількість факторів, здатних негативно впливати не тільки на зубну емаль, але і на м’які тканини порожнини рота. Всі знають, що відвідування стоматолога дозволяє уникнути безлічі проблем.
Чайне дерево
Цей овоч також здатний поліпшити стан тканин порожнини рота. Як зберегти зуби здоровими? Для цього можна використовувати баклажани. Для початку овочі варто очистити від шкірки. Саме вона і потрібна для приготування засоби нетрадиційної медицини.
Шкірку баклажанів рекомендується висушити в духовці, а потім перетерти в порошок. Столову ложку отриманої маси необхідно всипати в склянку і залити водою. Наполягати препарат потрібно протягом 10 хвилин.
Зуби хитаються? Як зберегти? Можна використовувати для цього зміцнюють трави. Кора дуба – це ефективний засіб, що дозволяє усунути кровоточивість ясен. Для боротьби з неприємним явищем можна приготувати настій.
Для цього необхідно подрібнити кору дуба і липовий цвіт. Компоненти слід змішати в рівних пропорціях. Чайну ложечку отриманої суміші заварити склянкою окропу. Після цього засіб повинен постояти до повного охолодження.
Вино і хрін
Це ще один засіб, що застосовується для профілактики багатьох захворювань. Для приготування необхідно натерти хрін на дрібній тертці і віджати. У склянці червоного вина варто розвести дві чайні ложки отриманого соку. Після кожного прийому їжі фахівці рекомендують полоскати рот цим засобом.
Відвар реп’яха
Можна зберегти зуб, якщо він хитається? Для цього варто зміцнити ясна. Ідеальним препаратом вважається відвар реп’яха. Цей засіб допомагає не тільки освіжити дихання, але і зміцнити ясна. Готується відвар дуже просто.
Реп’ях слід подрібнити. Чайну ложку сировини варто залити склянкою окропу і поставити на плиту. Варити засобів слід протягом кількох хвилин після закипання на слабкому вогні. На завершення засіб залишити на годину.
Трав’яний збір

Лікувальними властивостями володіє безліч трав. Так як зберегти зуби традиційними методами не завжди вдається, варто задуматися про застосування різних зборів. Покращити стан тканин порожнини рота можна, приготувавши засіб для полоскання на основі трав. Для цього необхідно взяти в рівних частинах пелюстки шипшини, квітки іван-чаю і листочки м’яти.
Компоненти варто подрібнити, а потім змішати. Столову ложку отриманої суміші слід залити холодною водою. Достатньо буде однієї склянки. Потім ємність з сумішшю варто помістити на плиту і довести до кипіння.
Готовий відвар повинен настоятися. Для цього потрібно дві години. Через зазначений час засіб необхідно відцідити. У настій можна додати 5 г муміє. Полоскати порожнину рота таким відваром слід не менше двох разів протягом доби.
Полин гіркий
Одне з найбільш ефективних народних засобів – полин гіркий. Ця рослина використовується для терапії багатьох захворювань, в тому числі і порожнини рота. З допомогою настою, приготованого з цієї рослини, можна усунути неприємний запах з рота.
Щоб приготувати препарат, необхідно подрібнити гіркий полин. Столову ложку отриманої сировини слід заварити двома склянками окропу. Настоюватися засіб повинен протягом 20 хвилин. Через зазначений час його варто процідити. Настій рекомендується використовувати для полоскання порожнини рота до 4 разів протягом доби.
Як зберегти зуби красивими? Для цього необхідно проводити профілактичні заходи. Ефективним засобом, здатним зберегти від карієсу, вважається настій з надземної частини звичайної ріпи. Для його приготування необхідно подрібнити листя рослини і заварити склянкою окропу.
Варто відзначити, що настій листя ріпи вважається хорошим засобом для профілактики не тільки карієсу, але і кровоточивості ясен, і пародонтозу, і запальних процесів.
Інші засоби
Як зберегти зуби здоровими? Біологія показує, що ці тканини можуть служити людині не більше 30 років. Однак це не так. Вчені довели, що зуби можна зберегти до глибокої старості. Для зміцнення тканин можна використовувати такі засоби:
- Коньяк. Цей алкогольний напій є ефективним зміцнюючим засобом. Його можна застосовувати для полоскання рота. Варто відзначити, що коньяк володіє знезаражувальним дією, завдяки спирту.
- Звичайна харчова сіль. Ця речовина здатна усунути неприємний запах з рота. У склянці води слід розчинити десертну ложку солі. Отриманий розчин слід використовувати для полоскання порожнини рота.
Можна зберегти корінь зуба? Це можливо тільки в тих випадках, коли тканини зуба не сильно пошкоджені. Щоб цього не сталося, можна застосовувати настоянку звіробою. Цей препарат чудово справляється із запаленням ясен, а також усуває неприємний запах.
Для приготування необхідно столову ложку попередньо подрібненого звіробою залити спиртом. Досить буде 1/2 літра. Ємність слід герметично закрити і помістити в темне місце на 7 діб.
Через зазначений час засіб можна використовувати для прийому всередину в розведеному вигляді. Для цього рекомендується в ½ склянки води розчиняти 40 крапель препарату. Приймати засіб варто двічі на добу протягом 7 днів.
Так як зберегти зуби дитині набагато складніше, чим дорослій людині, перед застосуванням будь-якого народного засобу варто проконсультуватися у дитячого стоматолога. Адже деякі препарати нетрадиційної медицини мають протипоказання.
Що стосується дорослих, то для зміцнення ясен, а також загоєння невеликих ранок можна використовувати сік лимона. Наносити суміш рекомендується м’яким пензликом. При цьому варто стежити за тим, щоб засіб не потрапляло на зубну емаль, так як воно негативно позначається на її стані.
З цією ж метою можна наносити на ясна сік подорожника. Він набагато безпечніший. Такий засіб не справляє негативного впливу на зубну емаль.
Спеціальний масаж
Як зберегти молочні зуби? Іноді елементарного дотримання гігієни порожнини рота буває недостатньо. Тому багато фахівців рекомендують виконувати нехитрий масаж ясен. Виконується він у такий спосіб:
- Ясна слід обхопити вказівним і великим пальцем з обох сторін. Масажувати її варто вертикальними рухами на кожному місці не менше 10 разів. При виконанні масажу можна застосовувати рослинні олії, змішані з дрібною сіллю.
- При кожному чищенні зубів масажувати ясна круговими рухами за кілька хвилин.
- Губи варто стулити, а мовою – доторкнутися до неба. Зубами потрібно постукати 20-30 разів. Це дозволить зміцнити м’язи рота і ясен. Виконувати вправу рекомендується до трьох разів протягом доби.
Якщо зуби розхиталися, то необхідно їсти щодня, ретельно розжовуючи, свіжий часник. Це дозволить зміцнити слабкі ясна. Також позбавитися від запального процесу і неприємного запаху з порожнини рота допоможуть свіжі листя первоцвітів або ж корінь лепехи. Ці продукти рекомендується щодня просто жувати.
Крім перерахованого вище варто збагатити свій раціон різноманітними продуктами, що містять безліч корисних речовин. Також фахівці радять приймати комплекси вітамінів і мінералів, до складу яких входять такі елементи, як кальцій, фосфор, вітаміни А, С, В6і D3.
Крім цього не варто забувати, що деякі речовини здатні завдавати шкоди тканинам порожнини рота. Тому не рекомендується зловживати продуктами, у складі яких присутні кислоти. Ці компоненти здатні зруйнувати емаль.
Однак найнебезпечніше для зубів – це недолік кальцію. Не завжди в організм людини потрапляє потрібну кількість цього елементу разом з їжею. Тому фахівці рекомендують використовувати спеціальні біологічно активні добавки з кальцієм.
Що стосується фосфору, то цей компонент необхідний для зміцнення зубів. Речовина утворює разом з кальцієм солі, вплив яких покращує стан тканин порожнини рота.
Як зміцнити емаль зубів в домашніх умовах?
Але не всі процедури по відновленню зубної емалі проводяться строго у ортодонта — доступні і домашні версії терапії.
Так, ремінералізація і фторування — виробляються самостійно за допомогою кап і розчинів, для цього не потрібна особлива підготовка. Головне — чітко виконувати вказівки стоматолога і не перестаратися з інтенсивністю лікування.

Зазвичай ортодонт наказує проводити сеанс носіння капи 1 раз в день, тривалість сесії не перевищує 15-20 хвилин. Кількість процедур і препарат завжди підбираються індивідуально. Крім того, стоматолог може виписати терапевтичні зубні пасти та ополіскувачі.
В домашніх умовах необхідно чергувати засоби гігієни порожнини рота, змінюючи фторирующие пасти на кальцинирующие, а потім — навпаки. Це потрібно, щоб уникнути дисбалансу мінералів в твердих тканинах.
Організація правильного харчування для зміцнення зубної емалі
Неправильне харчування і шкідливі звички збільшують ризик ослаблення зубної емалі. Ось найбільш «небезпечні» з них:
- солодощі (у тому числі ті, які мають в’язку структуру);
- міцний чай, каву;
- газовані напої (особливо з присутністю барвників, наприклад, кока-кола);
- кислі продукти і напої (цитрусові);
- алкоголь і сигарети;
- горіхи та інші тверді продукти, які можуть сточити зуби при їх тривалому вживанні.
Відмовитися від всіх продуктів, що негативно впливають на зубну емаль, досить складно. Для того щоб знизити ризик пошкодження зубного покриття, досить після них чистити зуби і по максимуму користуватися зубною ниткою.
Продукти, які позитивно впливають на зміцнення емалі зубів:
- молочні та кисломолочні продукти містять велику кількість кальцію);
- полуниця і зелень (мають аналогічні властивості: перешкоджають виникненню карієсу і сприяють відбілюванню зубів);
- продукти, багаті фосфором (риба, морепродукти);
- зелений чай (надає заспокійливу дію, а також запобігає неприємний запах з рота);
- сир (твердих сортів);
- яблука, морква (сирі тверді овочі та фрукти дозволяють прибрати із зубів залишки їжі);
- вода (рідина повинна надходити в організм у достатній кількості протягом дня – це дозволить уникнути накопичення нальоту та пересихання порожнини рота).
Велике значення для здоров’я емалі має і правильний раціон. Завдяки продуктам, які насичені мікроелементами і вітамінами, можна не тільки зміцнити тверді тканини зуба, але і поліпшити кислотність слини. А це відмінне підмога в боротьбі з карієсом.
Продукти багаті кальцієм
До споживання рекомендується їжа багата:
- кальцієм (молочні страви, висівки, риба, бобові, горіхи, мед, фрукти і овочі);
- фосфором — риба (особливо печінка тріски) і м’ясо, злаки, сочевиця, горіхи, соя тощо;
- фтор — морепродукти, риба, м’ясо птиці, гречка, рис, овес, грейпфрут, яблука та ін
Крім того, випускаються різні добавки і препарати, що містять необхідні мікроелементи, наприклад, глюконат кальцію.
Їх прийом допоможе не тільки зміцнити зуби, але і позитивно впливає на організм в цілому.
Що стосується продуктів, які шкодять емалі, то мова йде про солодощі, сухофрукти, картопля, а також їжу, багату вуглеводами.
Особливу увагу треба приділяти і прийнятим рідин — питній воді, яка може містити надлишок фтору, а також цукристим соків, газованої води та ін.
Щось з їжі корисно для фортеці зубної поверхні, а щось- дуже небезпечно. Давайте по порядку, але спочатку поговоримо про продукти, які руйнують оболонку:
- солодощі з великою кількістю цукру;
- кисла їжа, в тому числі фрукти з розряду цитрусових, а також натуральний апельсиновий сік;
- газована вода;
- алкоголь, сигарети;
- насіння і горішки – якщо гризти їх зубами, тоді покриття стирається, пошкоджується, але вже доведеться думати, а чим зміцнити пошкоджену і стерту емаль зубів.
Звичайно, це не означає, що кожний перерахований продукт треба назавжди виключити з харчування. Проте після кожного прийому слід очищати порожнину рота спеціальними розчинами, почистити зубки. А соки можна пити через соломинку, щоб мінімізувати вплив на поверхню зубів.
А ось що допомагає зміцнити емаль:
- Вода. Її обов’язково потрібно пити, вона очищає від небажаних компонентів в ротовій порожнині.
- Молоко, молочні вироби, кисломолочні продукти. Ця їжа багата фосфором, кальцієм, допомагає відновлювати нормальний процес слиновиділення.
- Ягоди, полуниця з вітаміном с, антиоксидантами.
- Зелень. Кріп, петрушка – допомагають зміцнити, а також відбілити емаль зубів в домашніх умовах, зробити більш свіжим дихання.
- Жовток, риба, морські дари. У складі цих продуктів є вітамін D, він благотворно позначається на стан оболонки зубних одиниць.
- Капуста, олія. Ці продукти містять вітамін К, також корисний для здоров’я ротової порожнини.
- Насіння кунжуту. Вони допомагають усувати бактерії, які шкодять цілісності захисного зубного покриття.
- Чай, саме зелений – це засіб корисно для здоров’я всієї ротової порожнини.
Часто замість того, щоб думати, як зміцнити емаль зубів в домашніх умовах, варто заздалегідь потурбуватися профілактичними заходами. Тому що правильно налагоджений домашній догляд – це навіть більше половини успіху.
Профілактика
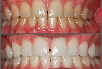
Реставрація твердих тканин зуба — набагато більш складний процес, чим запобігання їх руйнування. Відновлення потребуватиме часу, фінансових витрат і все одно не може дати ідеального результату.
Тому для профілактики патологічних станів — необхідно дотримувати прості правила гігієни ротової порожнини:
- дбайливо чистити зуби після кожного прийому їжі;
- періодично міняти щітку і пасту;
- вживати тверді продукти харчування для підтримки тканин і мускулатури щелеп в нормальному стані;
- дотримуватися дієти з рідкісним вживанням цукровмісних страв;
- використовувати ополіскувач і зубну нитку після перекусів.
Крім того, варто з обережністю ставитися до відбілюючим зубних паст і жвачкам для освіження дихання — вони негативно позначаються на емалі при тривалому їх застосуванні.
- Регулярність гігієни порожнини рота, правильні заходи.
- Вірно підібрана зубна паста, щітка. Щетинки не повинні бути занадто жорсткими. А паста – добре, якщо в складі є фтор, кальцій.
- Споживання твердої їжі – яблук, моркви. Це тренує емаль, тим самим допомагаючи її зміцнити.
- Систематичний масаж ясен, який також дозволяє зміцнити всю порожнину рота.
- Народний засіб добре не саме по собі, а коли воно йде в комплексі з іншими заходами та під суворим контролем професіонала. Важливо регулярно відвідувати кабінет стоматолога, щоб він вже на початковій стадії міг побачити пошкодження на поверхні і порадити, як відновити, укріпити.
Зміцнення емалі у дітей
Існує чимало думок і способів про те, як зміцнити емаль зубів у дитини. Ясно одне – посилена турбота про здоров’я ротової порожнини дитини починається з прорізуванням перших молочних зубів. Багато батьків помилково вважають, що при зміні тимчасових зубів на постійні — всі недоліки викорінюються (навіть карієс). Однак це не відповідає дійсності.

Тому дуже важливо правильно доглядати за емаллю спочатку:
- чистити зуби після прийому їжі;
- відвідувати стоматолога;
- харчуватися продуктами, багатими на мікроелементи.
Крім того, дітям і підліткам рекомендується регулярно проводити фторування зубів, а також вживати кальцій, оскільки в період росту організму — емаль стає особливо вразливою.
Слина дорослої людини містить багато патогенні мікроорганізми і здатна завдати шкоди мікрофлори ротової порожнини дитини. Тому не варто пережовувати дитині їжу — краще перетирати її або тиснути іншим способом.
Зубна емаль виконує не тільки естетичну функцію, але і захищає тверді тканини від впливу навколишнього середовища. Її пошкодження веде до розвитку різних патологій, руйнування зуба, а також виникнення болючості при дотику до нього.
Додаткові профілактичні рекомендації
Чайне дерево
Щоб зуби надовго зберегли своє здоров’я і красу, необхідно відмовитися від шкідливих звичок, це стосується вживання алкоголю в нерозумних кількостях і куріння.
- Імунні функції значно знижуються під дією спиртів і нікотину, псується емаль, збільшується ризик утворення процесів запалення в порожнині рота.
- До шкідливих звичок, також відносять надмірне вживання кави, яка вимиває кальцій. З цих міркувань рекомендується випивати не більше двох чашок міцного напою в добу.
- Зуби не призначені для відкривання пляшок або розколу шкаралупи горіхів. Такі навантаження збільшують чутливість зубів, і призводять до тріщин.
- Уникайте занадто гарячі напої та їжу.
На закінчення, хочеться сказати, що хвороби зубів часто приховані. Причини болю і кровоточивості визначити самостійно неймовірно складно. При перших симптомах болю і дискомфорту необхідно звернутися за допомогою до лікаря, який визначити їх причини і призначить лікування і профілактичні процедури, у тому числі народні, щоб поліпшити стан здоров’я .